07 June 2021

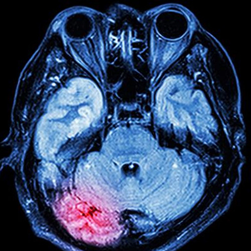
Red area shows where the brain is inflamed after concussion

A world-first international study led by the University of South Australia has identified a new drug to stop athletes developing dementia after sustaining repeated head injuries in their career.

The link between concussion and neurogenerative diseases is well established, but new research findings could halt the progression of chronic traumatic encephalopathy (CTE) in sportspeople who sustain repeated blows to the head.

CTE is a progressive and fatal brain disease associated with the accumulation of a protein known as hyperphosphorylated tau which affects cognition and behaviour.

In a paper published in Scientific Reports, UniSA Emeritus Professor Bob Vink and colleagues show how repeated concussions can cause CTE and a way to block it with a specially developed drug.

The findings will potentially have significant implications for athletes who play contact sports – such as boxers and footballers – as well as military veterans sustaining head injuries in conflict.

The team of researchers from Adelaide, Melbourne and the United States say the brain releases a neurotransmitter called substance P in the event of a head injury, causing abnormal amounts of the tau protein to collect inside neurons.

Professor Robert Vink

 

“Tau protein tangles are a feature of CTE, which reportedly leads to memory problems, confusion, personality changes, aggression, depression and suicidal thinking,” Prof Vink says.

“Our research shows that by blocking substance P with a specific drug, we can prevent the tau protein tangles from developing in the brain and causing neurological problems.”

The treatment was successfully tested in animal models, giving hope that CTE can be prevented in humans.

Prof Vink says the next step is human clinical trials, but that could take several years given that currently CTE can only be diagnosed post-mortem.

A study of 14,000 Americans over 25 years, published in Alzheimer’s and Dementia in March, showed that people who sustained even one head injury were 25 per cent more likely to develop dementia later in life. This risk increased with multiple traumatic brain injuries.

The Guardian also reported in April that an analysis of late AFLW player Jacinta Barclay’s brain uncovered neurological damage at age 29, highlighting the risks of repeated concussions to both sexes. Previous research has focused on the impact of brain injuries in male athletes, but females are more likely to sustain concussions.

Notes for Editors

“NK1 antagonists attenuate tau phosphorylation after blast and repeated concussive injury” is published in Scientific Reports.” For a copy of the paper please email candy.gibson@unisa.edu.au

The research team was comprised of scientists from the University of South Australia; University of Adelaide; Mercer University School of Medicine, USA; Monash University; and The Alfred Hospital.

 

Media contact: Candy Gibson T: +61 8 8302 0961 M: +61 434 605 142
E: candy.gibson@unisa.edu.au

Lead researcher: Professor Bob Vink M: 0400 177 494 E: robert.vink@unisa.edu.au

 

Other articles you may be interested in